If you’re suffering from receding gums, and thinking about taking action, but worry about gum graft cost, you’re not alone.
A gum graft sounds scary (and expensive) if you don’t know what it involves. At Sydney Periodontist, our goal is to demystify this very common procedure.
Our clinic is led by Dr. Vijay Tumuluri, who has over 20 years of experience as a periodontist in Parramatta and Sydney CBD, delivering the highest quality, affordable gum care with research-backed techniques. With additional clinics in Burwood, and Orange, we make your visit as convenient as possible—helping you return to full oral health with expert care.
If you’re looking for a “Periodontist near me” we are here to help with expert advice and treatment.
In this article, let’s talk about what a gum graft is, how it can help with receding gums, and the cost of gum graft Australia.
What is gum grafting?
Gum grafting, which is sometimes called a gingival graft, is a surgical procedure that involves transplanting healthy gum tissue from one area of the mouth to another to cover exposed tooth roots or restore the gumline.
Why someone might need a gum graft :
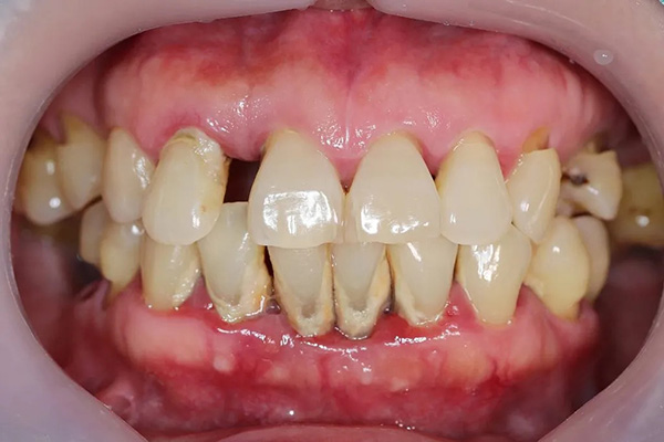
This procedure is normally undertaken to deal with gum recession, which is when the gum around the teeth wears away, exposing too much of the root. This can mean the roots are exposed to damage and decay, and be more sensitive than is comfortable.
For many, the concern is cosmetic, and many patients undergo a gum graft to improve the appearance of their smile.
The cause of gum recession varies, but it can come down to a number of factors, including gum disease, improper brushing, genetics, or aging.
What happens during the procedure :
There are a few different kinds of gum grafts, which we’ll go over below. In general, though, you can expect the area to be numbed with a local anaesthesia, so you won’t feel a thing.
Then, the doctor will remove a healthy piece of donor tissue from another part of the mouth. In most cases, this will be the roof of the mouth.
That piece of donor tissue is stitched into place to cover the exposed root, and then all incisions are closed with stitches.
Types of gum grafts
There are different types of gum grafts, with one of the most pivotal differences being where the donor tissue comes from.
In autografts, for example, patients provide their own tissue, which is normally taken from the roof of the mouth and transplanted to the site of the graft.
In xenografts, the graft substitute is an animal product. In allografts the graft substitute is from another person.
In Australia, autografts, also known as connective tissue grafts, are the most common type of gum graft, and generally provide the best results in terms of both aesthetics and root coverage.
Here’s a more in depth explanation of the different kinds of gum grafts :
– Autografts :
Autografts (where a patient supplies their own tissue) is considered the gold standard, and has a good colour match—you’ve probably never had to think about this before, but not everyone has the same colour gums.
On the other hand, for the patient, an autograft is more invasive as this means two incision sites, and double the healing.
– Allografts (donor tissue)
An allograft (where the tissue is taken from another person) is less painful for the patient. This kind of graft can treat multiple areas at once, and may be a good option for extensive gum recession.
– Free gingival grafts
Gingival grafts are used for thickening gums rather than covering roots, and work in a similar way to autografts. Tissue is taken from the surface of the palate and grafted directly onto the gum, to reinforce thinning gums.
This procedure is less common now, but is still performed occasionally.
What affects gum grafting cost in Australia?
No two mouths are exactly the same, so gum graft surgery costs in Australia can vary.
How much gum grafting will cost in Australia will depend on a few different factors, including how serious the gum recession is, what type of graft is used, and even who’s doing the procedure.
It goes without saying that how many teeth are involved also impacts the price. The gum graft cost for 4 teeth will inevitably be higher than the gum graft cost for 2 teeth.
Here’s a breakdown of the main things that can influence the cost of gum graft in Australia :
– Severity of gum recession
The more advanced your gum recession, the more complex the treatment is likely to be.
Mild cases might only need a small graft in one spot, while more severe recession could require multiple grafts or extra prep work – which naturally increases the gum bone graft cost.
Your periodontist will assess your gums and let you know what’s needed.
– Type of graft used
There are a few types of gum grafts, and each comes with its own gum graft surgery cost.
Some grafts use tissue from your own mouth (usually the roof of your mouth), while others might use donor tissue or lab-processed materials.
Your periodontist will recommend the best option for your needs, but just keep in mind that the method used can affect the overall cost.
– Number of teeth being treated
The more teeth that need treatment, the higher the cost. Treating one or two teeth will be quicker and less involved than a full-mouth approach.
Your periodontist will give you a clearer idea of the cost based on how many areas need attention.
– Experience of the periodontist
Like with any specialist, experience often comes at a premium. It’s worth considering the value of quality care when weighing up costs.
– Anaesthesia
Gum grafting can be done with local anaesthesia (which means no pain), but in some cases, you might opt for sedation or general anaesthetic, especially if you’re feeling anxious or if the procedure is more involved.
Different types of anaesthesia come with different costs, so this can be another factor in how much does gum graft surgery cost
How much does gum grafting cost in Australia?
The cost for gum grafting in Australia heavily depends on the type of graft, how complex the procedure is, and who’s performing it.
If you need multiple grafts or more involved treatment, the cost can increase.
In the table below, we clearly outline the cost range for gum grafting procedures in Australia.
| Gum Graft Procedure/Scope | Typical Cost Range (AUD) |
| Single Gum Graft (Per Tooth/Site) | $600 to $1,200+ |
| Moderate Complexity Per Tooth | $1,200 to $2,000 |
| Extensive Case (Multiple Teeth) | $2,000 to $3,000+ |
| Full-Mouth Or Advanced Grafting | $4,000 to $5,000+ (For Broad Coverage) |
| Specialist Mucogingival Surgery (Per Tooth) | $500 to $800 (Varies With Technique) |
However, there are other costs to consider beyond the graft itself. The following should be factored in when planning :
- Initial consultation fees: Most periodontists will start with a consultation to assess your gums and map out a treatment plan.
- Recovery time and aftercare products: You might need pain relief, a special mouth rinse, or a soft-bristled toothbrush to support healing. These don’t cost much individually, but it’s good to allow a little extra in your budget just in case.
- Time off work: While it’s a fairly routine procedure, you may need to take a day or two off work, especially if you’re having a more complex gum graft done.
There are also several other considerations you’ll need to account for:
- The range of prices above is the general total before private health insurance rebates, and is also influenced by different factors such as clinic location, complexity, number of sites, and specialist experience.
- Some clinics will quote lower “from” prices, but the actual final cost will be different and dictated by the tailored treatment plan.
- Prices listed online are often just regarding the actual surgical graft procedure itself, with the costs for consultations, imaging, anaesthesia or sedation, and aftercare products might be added separately.
What is Included In a Gum Graft Cost Estimate?
We understand that it can be confusing trying to analyse exactly what you can expect as a final cost for a gum graft procedure.
That’s why it’s important to choose a periodontist in Sydney who provides a clear breakdown of the whole package price from the jump, so there aren’t any surprises down the track.
A cost estimate for a gum graft generally includes:
- Consultation and assessment fees
- Diagnostic imaging
- Anaesthesia or sedation options
- Aftercare products and prescriptions
- Follow-up visits
Always ask your clinic for an estimate as early as possible.
Does insurance cover gum grafting in Australia?
It really depends on your private health insurance policy. Some extras or major dental policies do include cover for gum grafting, especially if the procedure is considered medically necessary (rather than purely cosmetic).
The best way to know for sure is to check the fine print or give your health fund a quick call.
If you’re not sure where to start, look for terms like periodontal surgery or gum treatment in your policy documents. You can also ask your Periodontist for an item number, then call your insurer to check if that specific procedure is covered.
In many cases, you can also request pre-approval, so you’ll have a clear idea of what’s covered and what you’ll need to pay out of pocket before the procedure goes ahead.
Unfortunately, gum grafting is not covered by Medicare.
Benefits of gum grafting
A gum graft should improve your smile, and reduce the sensitivity of your tooth, as well as the likelihood of developing cavities.
– Aesthetic improvements
Receding gums can make teeth look longer or uneven, but grafting helps restore a more natural gum line. It can be a real confidence booster, especially if you’ve been feeling self-conscious about your teeth.
– Impacts on tooth sensitivity
When gums recede, the roots of your teeth can become exposed, and that often leads to increased sensitivity, especially to cold drinks or sweet foods.
A gum graft covers those exposed areas, which helps reduce sensitivity and makes eating and drinking more comfortable.
How much does gum grafting cost in Australia?
The cost depends on the type of graft, how complex the procedure is, and who’s performing it. If you need multiple grafts or more involved treatment, the cost can increase.
However, there are other costs to consider beyond the graft itself. The following should be factored in when planning :
- Initial consultation fees : Most periodontists will start with a consultation to assess your gums and map out a treatment plan.
- Recovery time and aftercare products : You might need pain relief, a special mouth rinse, or a soft-bristled toothbrush to support healing. These don’t cost much individually, but it’s good to allow a little extra in your budget just in case.
- Time off work : While it’s a fairly routine procedure, you may need to take a day or two off work, especially if you’re having a more complex gum graft done.
How long does recovery take?
Most people start to feel back to normal within a week or two, but full healing can take a few weeks to a couple of months, depending on how your body responds and how extensive the grafting was.
You’ll likely need to stick to soft foods for the first few days, avoid brushing near the area initially, and follow your periodontist’s aftercare instructions carefully.
The good news is that once the healing is done, your gums will be healthier.
Ways to save on gum graft surgery
– Seeking a second opinion
Prices will vary from periodontist to periodontist, based on experience, location, and a host of other factors. So, if you hear a number that doesn’t sound right, or that you just can’t afford, you can always get a second opinion.
– Considering university dental clinics
If you’re on a budget, then a university dental clinic can be an excellent option. These clinics still provide access to experienced dentists and periodontists who can perform your graft at a fraction of the cost.
You should always research and compare clinics, however, to ensure the university dental clinic you’re going with has a strong track record and a good reputation.
Frequently Asked Questions
1. How painful is gum grafting?
The actual procedure is done under local anaesthetic, so you won’t feel any pain. Afterwards, you might feel some soreness or discomfort for a few days, especially if tissue was taken from the roof of your mouth.
Most people say it feels more like a scraped knee than anything sharp. Pain relief and following your dentist’s aftercare instructions can make recovery pretty manageable.
2. How long does gum grafting last?
If you take good care of your teeth and gums, a gum graft can last years. That said, ongoing gum care is essential.
Regular brushing, flossing, and professional cleans help keep your graft (and your gums in general) in good shape, so that you don’t need any further intervention.
3. What are the downsides of a gum graft
Like any procedure, there are a few potential downsides.
These include :
- Discomfort during healing, especially if tissue was taken from your own palate
- Swelling or bruising
- Risk of infection or graft failure.
- In some cases, you might notice a colour mismatch or a slight difference in texture between the grafted area and your natural gums
While there are risks involved, with a skilled periodontist and proper aftercare, most people recover without any major issues, and the rate of complications is very low.
4. What can you do instead of a gum graft?
For milder cases, your dentist or Periodontist might suggest less invasive options like scaling and root planing (a deep clean under the gums), along with improved oral hygiene and possibly switching to a softer toothbrush.
Specialised toothpastes and gels can also help protect exposed roots and reduce sensitivity.
5. When can I eat pizza after a gum graft?
You’ll need to avoid chewy, crunchy, or hot foods (like pizza) for at least two weeks, and sometimes a bit longer depending on your healing.
Soft, cool foods like yoghurt, scrambled eggs, and smoothies are best. Always follow your dentist or Periodontist advice, but a good rule of thumb: if it needs biting or tugging, it should wait.
Why Choose Sydney Periodontists?
If you are looking for a trusted periodontist in the Sydney CBD, Parramatta or Orange region than look no further than the passionate team at Sydney Periodontists.
We provide a range of periodontal services, using industry-backed techniques in the management of gum diseases and implant treatment in an affordable manner to help achieve a stable, healthy and confident smile.
Get in contact with us today, or call us on (02) 8552 0300.

